前段时间一位头条网友留言说,他亲属年年体检显示肺部正常,结果去年突然被查出晚期肺癌,痛诉要体检有何用。字里行间充满心酸、无奈、愤怒。这位朋友还不知道出问题的原因:少数地方仍然选择的胸片体检方式漏诊率非常高,虽然目前已经逐步被胸部CT的体检方式淘汰,但是仍然存在。今天拿切西瓜的通俗道理给大家介绍一胸片和CT的区别,解释一下为什么胸片漏诊率会非常高。
- 胸片和胸部CT的原理
胸片是通过机器发出X射线穿透人体之后被探测器捕捉,并得到了一副透视胸部的平面图像。而CT是多层螺旋扫描,把脏器的分层扫描得出多副图像(分多少层,就能得到多少副图像)。CT扫描的好处在于不仅可以分层检查脏器,还可以通过不同的角度旋转三维重建观察病灶特征。而拍片是平面图,达不到CT的三维效果及病灶的准确位置。例如下图胸片以及胸部CT,其中胸片中专门画出来很多横线,代表CT切的每个层面。
- 胸片和胸部CT区别:一个平面透视检查西瓜和西瓜切片后检查的区别
如果我们有一双透视眼睛,我们从一个平面观看西瓜,数里面总共有多少西瓜子,往往会因为西瓜子前后重叠在一起,而无法数清楚。但是,如果我们把西瓜从顶部一直往底部全部切成1毫米的西瓜片,然后检查每片西瓜上的西瓜子,这样肯定能数清楚这个西瓜里面总共含有有多少西瓜子。见下图
同理胸片,一个平面的扫描透视片中,不仅涵盖肺组织,还包含肋骨等。与肋骨前后重叠的肺组织中的结节灶非常容易被漏诊。此外,胸片容易漏诊心脏影后面的病灶:上面胸片CT对比图中,左边胸片中间梨形白色的影子为心脏影,他有一部分与肺前后重叠。也就是说一个平面透视时,有一部分肺组织是被心脏挡住的。因此心影后面肺部病灶胸片很容易漏诊,而CT就不用担心这个问题。其他还有肺门部位因为血管非常丰富,所以肺部部位的阴影往往因为与血管混杂一起而漏诊。
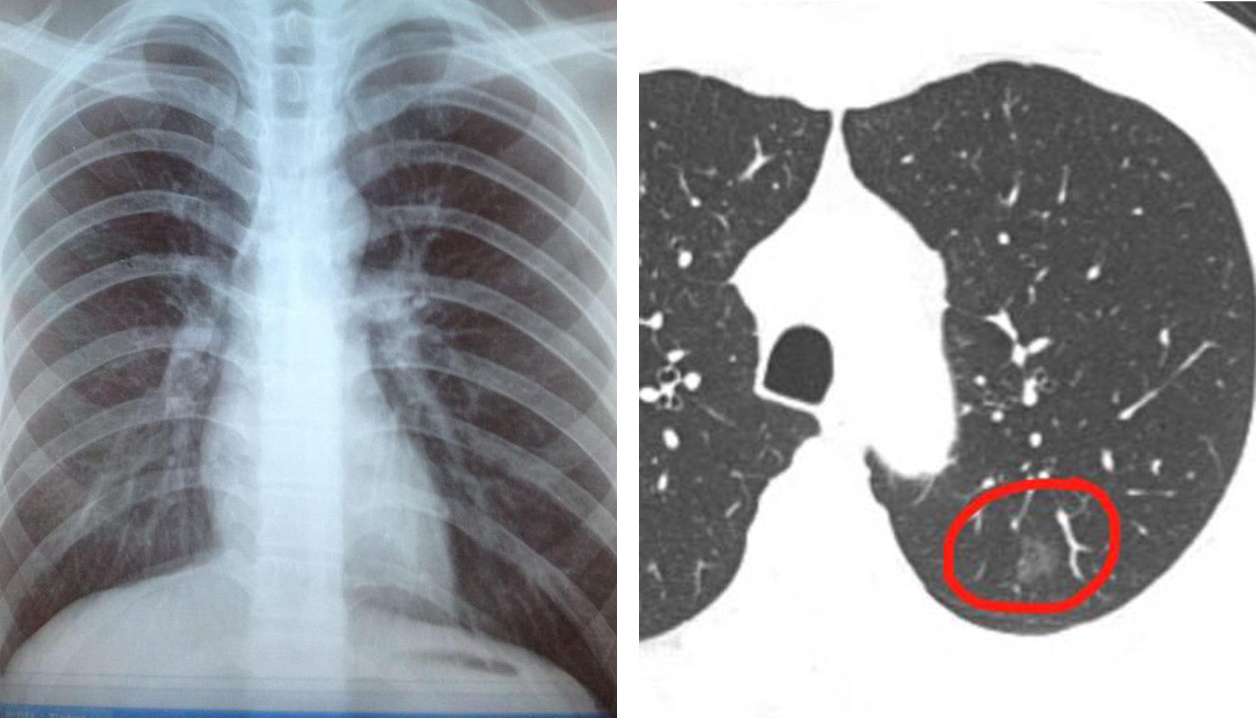
再次回归现实中的一例早期肺癌患者,这名患者前面单位体检拍胸片未见异常,随后因其他原因行胸部CT检查,无意中发现一枚磨玻璃结节,最后手术结果显示为早期肺癌。如下图:左侧胸片中完全看不到的肺部结节,而右图胸部CT的其中一个层面能看到胸膜下9mm的肺部磨玻璃结节灶。
- 胸片诊断力度不如CT,但是仍然存在他的特定价值
为什么现在不完全弃用胸片呢?原因是胸片还有他存在的价值:速度快,价格低,还适宜于床边检查。例如,一名婴儿肺炎,多数采取快速胸片解决问题。再如,接受大手术的患者,不适宜于搬动,可以把摄片机子搬到床边给患者检查,而CT就没法做到。
- 胸片和CT的辐射量比较
再谈一下很多网友关心的胸片和CT的辐射量的问题。接受一次普通胸片的辐射量是胸部CT的六分之一,而且目前体检中使用的低剂量胸部CT辐射量和胸片相似。那么,是不是以后都可以用低剂量CT完全代替普通CT了呢?答案肯定是不行。低剂量CT适合于未发现问题的人群第一次体检,如果肺部已经发现有结节或者其他问题,最好还是做普通辐射量CT扫描。因为低剂量CT的清晰度还是不如普通辐射量CT。一年有限次数的胸部CT检查的辐射对人体基本没伤害的,在这里必须尊敬一下常年在辐射里为患者做手术的介入科医生。
