免疫治疗作为近年来迅速崛起的肿瘤治疗手段,打开了肿瘤治疗新世界的大门,也为很多患者带来了更高的疗效和更好的生存获益。但是,患者朋友们也能意识到,免疫治疗并不适用于所有人,但也确实存在部分患者“非常”适合免疫治疗。在很长一段时间内,PDL1高表达是PD1单抗治疗的重要筛选指标,而PDL1低表达患者往往被免疫治疗拒之门外。2020年6月17日,FDA加速审批Keytruda单药用于治疗TMB-H(组织肿瘤突变负荷≥10个突变/百万碱基,mut/Mb),既往治疗后疾病进展,且无满意替代治疗方案的晚期实体瘤患者。这意味着将有更多的患者会获益与免疫治疗,今天,我们就来讲讲TMB与免疫。
一、高TMB患者免疫疗效到底有多好?总疗效翻4倍!患者直接CR!
FDA已经批准Keytruda单药用于治疗TMB-H(组织肿瘤突变负荷≥10个突变/百万碱基,mut/Mb),既往治疗后疾病进展,且无满意替代治疗方案的晚期实体瘤患者。此次获批基于II期KEYNOTE-158临床试验的数据,数据显示pembrolizumab在TMB-H患者(n=99)中的响应率为30.3%,其中包括4.0% 完全缓解,而TMB-L患者(n=652)的响应率仅为6.8%。5倍之差。
真实案例
TMB-H的局晚期肺癌患者使用O药,病灶全消!
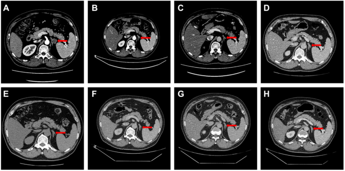
一名有40年吸烟史的54岁男性,于2018年7月就诊于中国医科大学附属第一医院,CT显示右上叶长4 cm的肺部病变,4号淋巴结转移。
2018年8月患者进行了肺叶切除和淋巴结清扫术,并通过病理诊断证实了pT2aN2M0 IIIA期大细胞神经内分泌肺癌伴淋巴结转移。免疫组化:PD-L1为阴性;血液活检:TMB-H(25.8mut/Mb);NGS:未发现EGFR突变和ALK重排。
手术2个月CT显示肾上腺有一个2厘米大小的转移性肿瘤(图A),表明疾病进展,尽管PD-L1为阴性,但由于TMB-H且EGFR / ALK突变阴性。患者于2018年10月开始接受nivolumab治疗(240毫克)。在15个疗程后,患者获得了完全缓解(CR),左肾上腺转移性肿瘤明显消退(图B–E)。在第16个疗程之后,患者咳嗽伴轻度呼吸困难,胸部CT显示小叶间间隔增厚和胸膜下玻璃样混浊。Nivolumab治疗中断3个月,但症状恶化,通过乙酰半胱氨酸和皮质类固醇治疗3个月,症状消失。停药后第4、8和12个月,没有进展。在治疗后随访的20个月内(至2020年5月),患者未见复发或转移。
二、PDL1阳性与高TMB并不重合!PDL1阴性记得查一下TMB偶
免疫的预测指标目前有很多,但是有一个很神奇的地方在于,这些筛查指标似乎并不重合。以上的肺癌患者案例就是很典型的PDL1表达阴性但TMB高突变,但无论何者为阳性,都能获得很好的免疫疗效。
在一项研究中,医生对14867例乳癌患者肿瘤组织进行了PDL1的检测和359个基因在内的基因检测,试图寻找乳癌患者指标特征。当把PDL1和TMB两个指标比较后发现,PDL1阳性和高TMB并没有明显重合,OR1.02,P=0.87。不过如果将高TMB定义为≥20mut/Mb,PDL1阳性和高TMB出现了明确的相关性,OR 2.6,P=0.023。但是,即使这样,79%高TMB的样本,PDL1依然是阴性。
因此提醒我们医患朋友,充分地查询每一项预测指标。在PDL1阴性时,可以追查一下TMB的情况,依然能有免疫优选的机会。下面的案例就是典型的绝处逢生!
真实案例
乳癌患者多线治疗,PDL1阴性,补查TMB后,积极免疫治疗获得CR!
患者66岁女性,右乳浸润性导管癌,ER 76%-100%,PR 10%,HER2阴性、Ki6770%。PET-CT检查未发现有明确的转移病灶。进行了术后,术后放化,采用内分泌在治疗。1年后复发。再次出现右胸壁的皮肤结节,继续接受了右胸壁的切除术,术后病理回报:浸润性导管癌,ER 76%-100%,PR 0, HER2阴性。肿瘤组织中浸润细胞TIL<2%,PDL1表达<1%。病理外,患者还进行了肿瘤组织的基因检测,结果显示:高TMB (40mut/Mb),但是没有提示dMMR。随后患者换用了氟维司群+帕博西尼方案治疗。但在治疗3个月后,患者的PET-CT检查提示疾病出现进展,左腋窝淋巴结的转移,细针穿刺提示ER 90%、PR 50%、HER2-。考虑到只是单一部位转移,患者接受了该部位的切除。切除后继续使用氟维司群+帕博西尼的治疗。继续治疗3月后,复查发现出现了右胸壁2处新的软组织的病灶复发以及淋巴结转移。患者随后在暂停了内分泌治疗,转化为每周的卡培他滨 1500mgbid口服治疗。考虑到患者肿瘤组织基因检测TMB属于高突变负荷,医生在卡培他滨治疗43天后,为患者加上了PD1单抗O药(欧狄沃,纳武利尤单抗)的治疗。患者病灶明显缩小,达到CR完全缓解转态,且到最后一次随访,26个多月后疗效仍持续。
左图:2017年8月左腋下的高代谢病灶,右图为2019年8月达到CR.
三、哪些癌种更容易查出TMB-H
国外研究者通过WES检测方法将常见的肿瘤进行了基因检测,观察不同肿瘤的TMB高度。结果显示,肿瘤突变负荷排名前五位的肿瘤分别是黑色素瘤、肺癌、膀胱癌、胃癌、食管癌。但这种排法只是中位数值排列。意味这几类癌种的整体突变负荷免疫疗效较好。临床中的真实疗效似乎也证实了该指导。但我们也可以看到,每个癌种样本突变呈现高低垂直范围,意味每一类癌种都有可能存在高TMB的患者,因此,对于TMB的检测还是建议全癌种检测,特别是没有合适治疗方法的患者朋友。
