患者,男性,65岁,已知患有慢性丙型肝炎,因持续1年呼吸急促和手指青紫色改变而被送往急诊科。
随着时间的推移,患者的呼吸急促症状愈发严重;起初在劳累后才有呼吸急促的表现,但近期在休息时也可见。患者在步行和坐卧时呼吸困难加重,平卧和氧疗后可缓解。患者的呼吸困难限制了他的日常生活、性交和自我护理能力(mMRC得分=4)。此外,患者自述其呼吸急促与全身性疲劳,手、脚、口、鼻的青紫色改变以及主要在活动期间发生的手震颤有关。此外,这种呼吸急促与胸痛、咳嗽、咳痰、心悸或意识丧失无关。患者无腿部肿胀、腹胀、腹痛、呕吐、黄疸、排便或排尿习惯的改变。
体格检查:发现患者中心性发绀与周围性发绀同时存在(图1A)、杵状指(图1B)、肌肉萎缩、针痕、手掌红斑和双侧静止性震颤,但无扑翼样震颤。患者全身毛细血管扩张。腹部、心血管、呼吸和神经系统检查未见异常。
图1 A 中央性和周围性发绀;B 杵状指
实验室检查结果示:血小板计数为104×10^9/L(参考范围[RR]为150-400×10^9/L),白细胞和红细胞计数正常,血红蛋白水平正常。此外,患者的凝血功能、肾功能和电解质指标几乎都在正常范围内。
肝功能检查示:总胆红素升高(34 μmol/L;RR 5-21 μmol/L),直接胆红素升高(17 μmol/L;RR 0-5 μmol/L);总蛋白 82g/L,包括白蛋白(39g/L)、球蛋白(39g/L)、谷氨酰转移酶(GGT)和碱性磷酸酶(ALP)在正常范围内。ALT水平为108 U/L(RR<41 U/L),甲胎蛋白水平为13.3 μg/L(RR<9 μg/L)。
心电图无异常,但胸部X光显示双侧基底节浑浊。
病毒性肝炎检测:抗HCV抗体呈阳性,HCV基因型为3型,HCV载量为251188.640 IU/mL。
根据上述临床和实验室检查,肺炎和肝性胸水的可能性极小。
动脉血气(ABG)提示严重低氧血症,卧位时有所改善:(1)坐位时,ABG读数为:PH=7.43、SO=57%、PO=33.5mmHg、PCO=31.9mmHg、HCO=21mmol/L;(2)卧位时, ABG结果为:PH=7.438、SO=71.6%、PO=37.6mmHg、PCO=29.3mmHg、HCO2 2 2 3 2 2 2 3=21mmol/L。仰卧位的肺泡-动脉氧分压梯度(A-a)从76mmHg增加到78mmHg。
腹部超声显示肝表面结节和偶发性肾囊肿。胃镜检查提示食管静脉曲张。
最终,患者的Child-Pugh得分为5分(A级),MELD得分为9分。
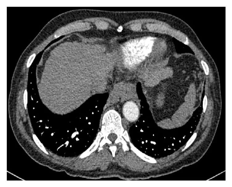
肺功能检测提示第1秒用力呼气容积(FEV1)和用力肺活量(FVC)降低,但FEV1/FVC正常。胸部CT显示双侧基底肺动脉扩张明显和肝脏边缘不规则,但没有肺气肿或纤维化改变。
进行经胸超声造影。在右心房出现后的5个心动周期内,对比剂的微泡出现在左心房和左心室(图3和4)。
图3 胸部CT显示明显的肺血管和不规则的肝脏边缘
图4 经胸超声心动图显示心脏左侧有微泡造影剂
根据病史、体格检查和实验室检查,该例患者被诊断为肝肺综合征(HPS)(表1)。
表1 肝肺综合征的鉴别诊断
注:HPS=肝肺综合征;PPH=门脉性肺动脉高压;HHS=遗传性出血性毛细血管扩张症;HH=肝性胸水;AD=常染色体显性遗传;JVD=颈静脉扩张。
治疗
使用索磷布韦联合达拉他韦进行抗HCV治疗;针对HPS,采用长期家庭氧疗(LTOT)来缓解患者的症状。嘱咐患者每3个月随访一次,并建议患者接种甲肝和乙肝疫苗,并进行肝移植评估。在完成药物治疗后,实验室检查结果提示患者的HCV被根除。
讨论
大多数研究显示,慢性肝病患者的HPS患病率为10%-25%,但由于存在未确诊的病例,其实际患病率可能更高。
HPS的确切发病机制尚不完全清楚,但有多种机制被提出,包括细菌从胃肠道的移位导致细胞因子(包括TNF-α)的分泌。而TNF-α可诱导一氧化氮合酶(NOS)产生一氧化氮(NO),后者是一种已知的肺毛细血管扩张剂。
一般来说,HPS的临床表现是非特异性的,可有如呼吸急促、发绀、蜘蛛痣和手掌红斑等症状。
HPS的诊断标准为:(1)肝脏疾病(通常是肝硬化合并门静脉高压);(2)增强经胸超声心动图造影(CE-TTE)阳性(从外周手臂静脉注射10 ml生理盐水,在对右心进行微泡造影,≥3个心跳周期后左心可见微泡显影);(3)动脉血气结果异常(氧合异常)。
一些研究报道了HPS自发消失的案例。欧洲肝脏研究协会(EASL)指出,目前没有足够的数据来推荐经颈静脉肝内门体分流术(TIPS)或其他治疗方法用于治疗HPS。目前,肝移植和氧疗仍是HPS唯一推荐的干预措施,但须个性化管理。
结论
我们从这一案例研究中得到的经验如下:首先,在评估肝病患者时,应保持对HPS的高度怀疑;其次,尽管肝移植仍然是唯一的治疗性干预措施,但有时对症治疗是最好的方法,尤其是对于危重患者;最后,这种综合征对其他器官和系统的影响在很大程度上仍是未知的,移植前后的结局还有待研究。
