晚期食管癌免疫治疗:雷替曲塞+PD-L1(转)
发布日期:2021-12-09 浏览次数:
随着免疫治疗的兴起,尤其是多个PD-1/PD-L1抑制剂在国内上市,越来越多的肿瘤患者开始认识并使用免疫治疗药物。中国特色的癌症类型-食管癌也迎来了免疫治疗时代,疗效明显优于传统疗法,让晚期患者活得更久。
下面分享一则晚期食管癌患者应用免疫治疗的病例。
1、患者就诊情况
基本情况:卢某某,男性,77岁,已婚,2018-10-09入院
主诉:进食梗咽1年
既往史:患者于2007-03-17在武进医院行“根治性全胃切除术”,术后病理:(胃底贲部)恶性肿瘤,倾向低分化癌,浸润全层,残端未见癌浸润,小弯缘淋巴结( 0/4)未见癌转移。免疫标记:癌细胞CK18 ( )、34BE12 ( )、P63 ( )、Ki-67 80% ( ) 、 P53 ( )。2007-04-05.04-09行腹腔化疗,具体用药分别为:DP60mg 5FU 0.75g、DDP60mg 5FU 1g,有Ⅱ度骨髓抑制。
现病史:患者1年前出现进食梗咽,有近期明显消瘦,有纳差,无恶心、呕吐,无呛 咳,无胸背痛,无呕血、黑便,查胃镜示:距门齿825px新生物;病理:(食管)浅表粘膜鳞状上皮高级别上皮内瘤变。
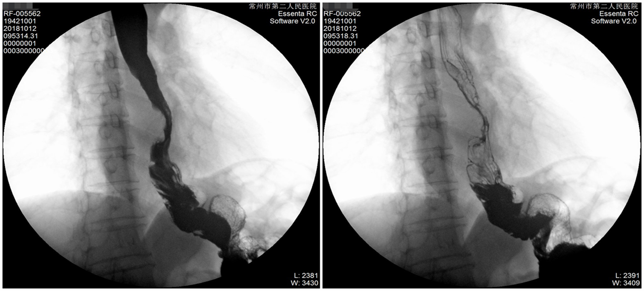
诊治经过:GI CT PET-CT
胃镜:距门齿825px新生物;病理:(食管)浅表粘膜鳞状上皮高级别上皮内瘤变。

GI(2018-10-12):1、结合病史,考虑为食管中下段MT。2、胃术后改变

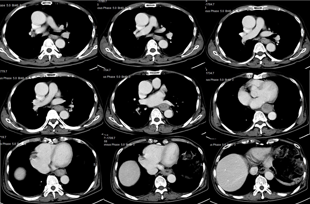
2018-10-09 食管中下段管壁增厚

2018-10-09左上腹系膜区结节灶

PET/CT(2018-10-22):食管中下段管壁增厚FDG代谢增高,吻合口下方肠壁FDG代谢增高灶;左上腹系膜区多发FDG代谢增高灶,考虑多发转移;后腹膜区及右侧髂血管旁多发小淋巴结FDG代谢轻度增高,倾向转移淋巴结。



诊断:食管MT(累及空肠)(T3N0M1)IV期
建议:再次胃镜取得病理;化疗为基础的全身治疗;同步放化疗;单纯放疗。
拒绝胃镜,拒绝治疗,未治出院。
2、患者治疗过程
(1)2019-01-08进食梗咽症状加重入院,2019-01-14–02-22开始食管及吻合口放疗,以定位CT所示食管肿瘤为GTV,GTV及其上方75px食管外放12.5px为PTV, 95%PTV=5600cGy/28f,吻合口向下50px小肠外放12.5px为PTV1,95%PTV1=5000cGy/25f

2019-04-02(左上腹痛入院)

(2)2019-04-08–05-15开始腹腔肿大淋巴结放疗,以定位CT所示腹腔淋巴结为GTV,GTV外放12.5px为PTV,95%PTV=5040cGy/28f

(3)放疗结束后于06-06开始化疗3程 方案:力扑素180mg d1 奈达铂120mg d2,末次化疗时间为09-04,化疗后出现Ⅲ度骨髓抑制,给予对症处理后好转
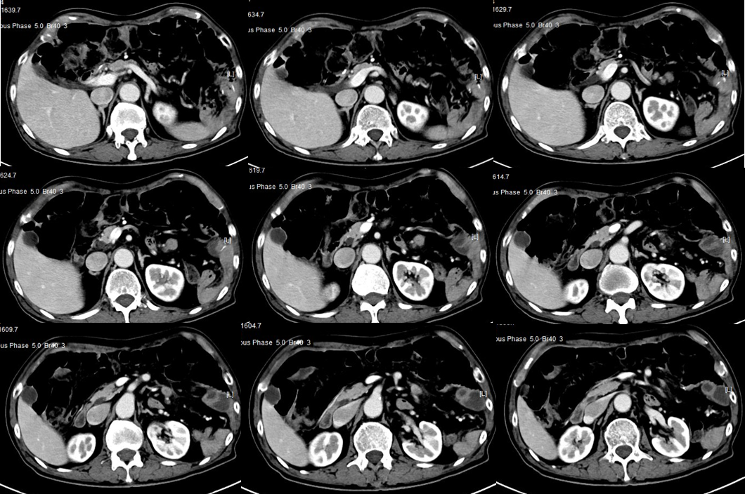
(4)2019-07-24复查CT:腹腔肿大淋巴结较放疗前缩小
(5)2019-09-26复查CT:腹腔肿大淋巴结较放疗后增大,出现左上腹痛
(6)2019-10-11予安罗替尼治疗,口服1周疼痛无缓解
(7)11-01开始化疗联合免疫治疗,方案:“雷替曲塞4mg d1 durvalumab 500mg d2” ,3周方案。
(8)治疗后出现I度骨髓抑制,乏力、纳差,第2、3程雷替曲塞3mg d1,仍有乏力纳差,但1周后缓解。
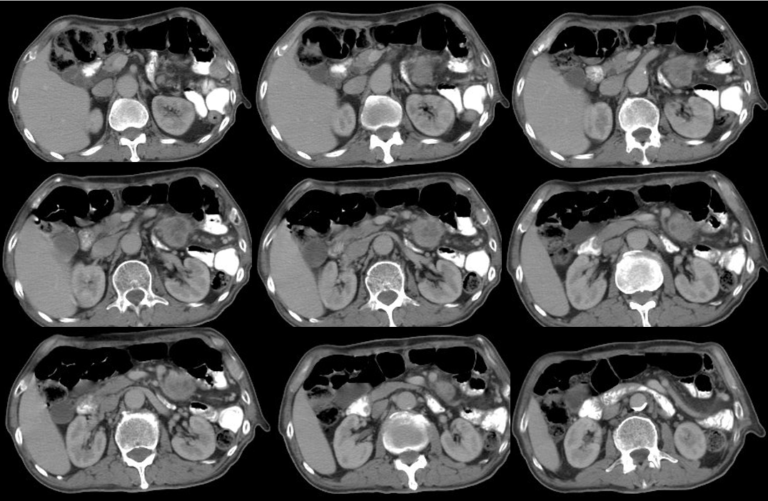
(9)12-19复查CT:腹腔淋巴结较09-26日缩小,3疗程“雷替曲塞 durvalumab“治疗评估达PR。




治疗过程梳理:
2018-10-09入住后未治出院
2019-01-08食管病灶放疗
2019-04-08腹腔肿大淋巴结放疗
2019-09-26腹腔淋巴结放疗后PD,2019-10-11后予安罗替尼治疗
11-01开始雷替曲塞 durvalumab治疗,治疗3疗程达PR
3、案例总结
本案例为老年食管癌患者,单纯放疗疗效可靠,后用雷替曲塞 durvalumab治疗,治疗3程达PR,不仅治疗有效,而且毒副反应可控。为晚期食管癌患者治疗提供了新的选择,希望能惠及更多患者。
印度肿瘤药房(India Pharmacy)是印度新德里肿瘤药房信息咨询服务平台,旨在为患者提供各类进口原研 进口仿制 最新研制等医药信息咨询 跨境医药电商直邮服务,让患者轻松获取全球最佳药品有更多选择,基本涵盖新特药 抗癌药 靶向药 丙肝 乙肝 高血压 糖尿病 痛风 等药品,欢迎咨询!官方微信 Yindu7689
